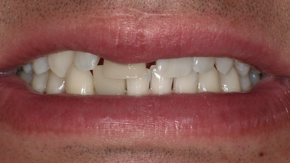
Drago.jpeg Drago_full


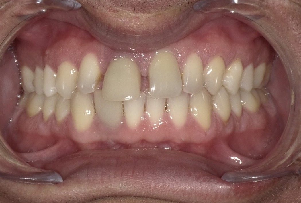
Intraoral_vorher_03
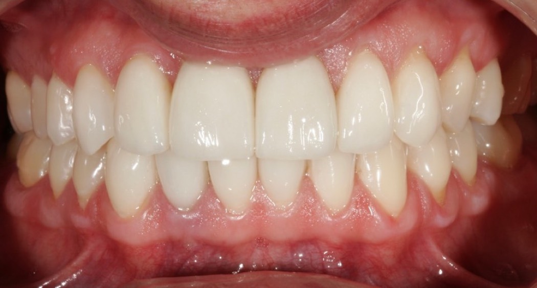
Intraoral_nachher_03