Home
Zwei Generationen
Drago Kukolj
Filip Kukolj
Dentalästhetik
Handwerkskunst
Behandlungsablauf
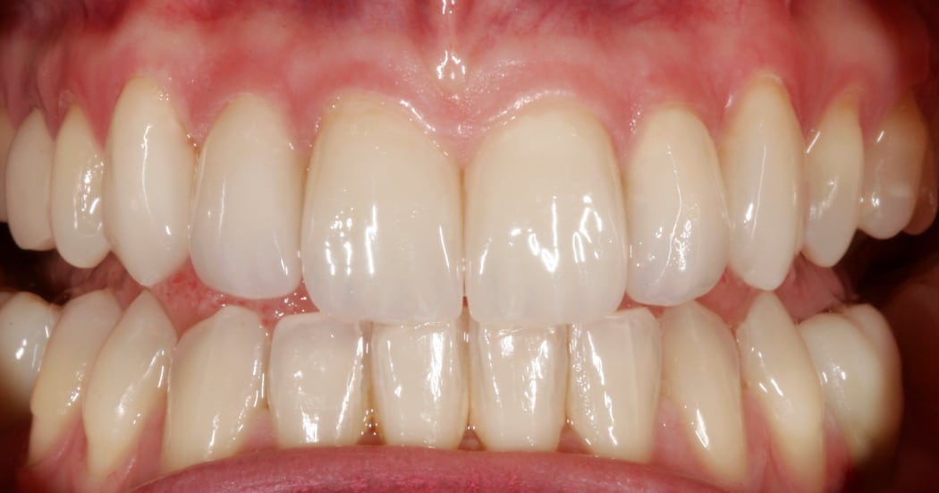
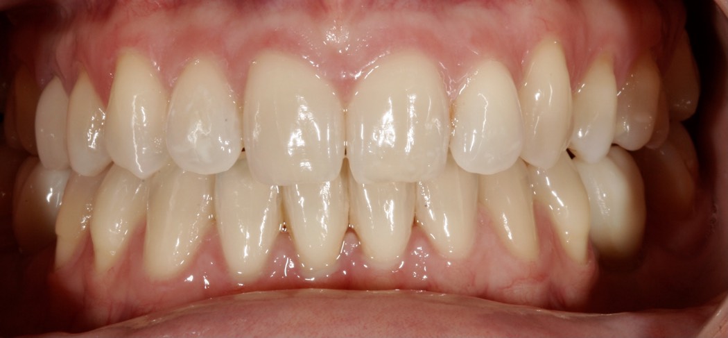
Ergebnisse
Patientenstimmen
Anfahrt
Datenschutz
Impressum