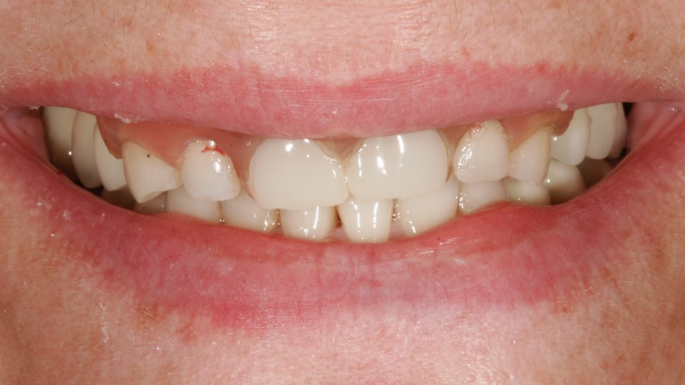
Drago.jpeg Drago_full


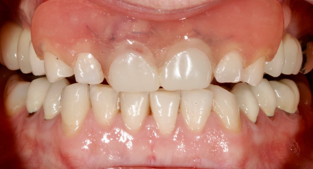
Intraoral_vorher_06
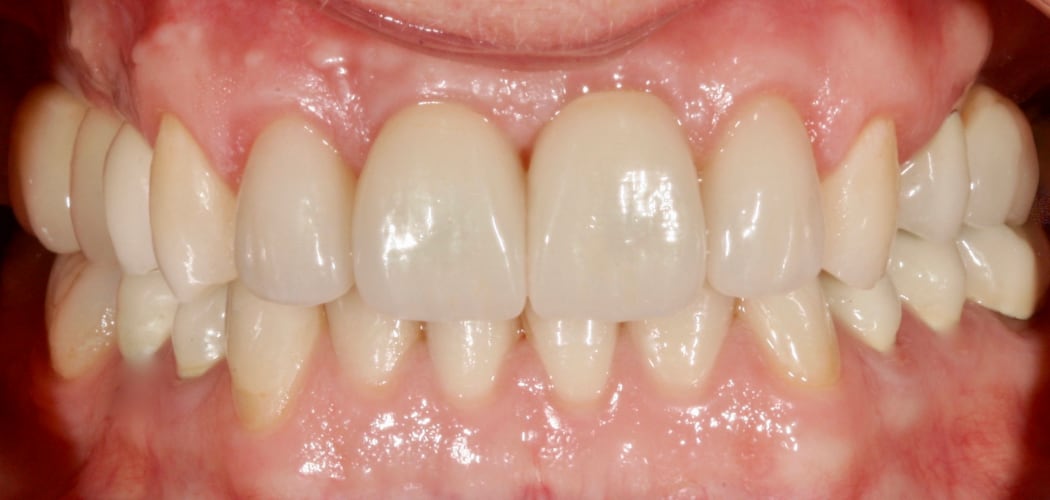
Intraoral_nachher_06